Why Choose Us

At Gilmour Dental Centre, we do things differently — and we think that’s a good thing. Our emphasis on continuing improving our treatments through constant education and technology is at the forefront of our commitment to our patients. From the way we plan your treatment to the tools we use and the results we deliver, everything is designed with your comfort, clarity, and long-term health in mind.
This page gives you a closer look at what sets us apart, our commitment to modern dental technology, how we handle financial information, and some of the real results we’ve achieved for our patients.
What Sets Us Apart
We pride ourselves on delivering honest, no-nonsense dentistry. That means clear communication, practical treatment options, and no gimmicks. We believe in educating our patients and making sure you understand your treatment every step of the way. Whether you’re here for a routine cleaning or a more complex restorative procedure, our goal is always the same: to make you feel informed, cared for, and confident in your care.
Our team combines years of experience with a passion for innovation. We stay current with the latest advancements in dentistry, but never lose sight of what matters most — the people we treat. We work efficiently as a team, value your time, and always aim to provide a smooth, stress-free experience from start to finish.
Advanced Dental Technology
Modern dentistry is constantly evolving — and so are we. At Gilmour Dental, we invest in the latest technology to ensure your care is as efficient, precise, and comfortable as possible. From digital X-rays that reduce radiation exposure to intraoral scanners that replace traditional impressions, our tools are designed to improve both your experience and your results.
Our office also uses 3D imaging and computer-aided design technology to create crowns and other restorations with exceptional accuracy — sometimes in just one visit. These innovations allow us to detect issues earlier, reduce your time in the chair, and provide treatments that are more predictable and durable. Simply put, better tools mean better care.
Financial Information
We understand that dental care is an important investment, and we’re here to help make it manageable. At Gilmour Dental, we believe in straightforward, transparent billing with no hidden fees. Our team will walk you through the cost of your treatment plan and help you understand your options every step of the way. We also offer payment arrangements for certain procedures, and we accept most major insurance providers.
We are proud to support patients covered under the Canadian Dental Care Plan (CDCP) and are happy to help eligible individuals access the care they need. If you have questions about your coverage or need assistance navigating your plan, our team is here to guide you through the process and make sure you get the most from your benefits.
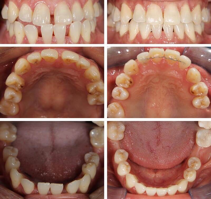
Before & After Gallery
Seeing real results can make all the difference when choosing your dental care provider. That’s why we proudly showcase a selection of before-and-after cases that reflect the work we do every day. From cosmetic smile makeovers to restorative treatments, these transformations speak for themselves.
Each case tells a story — of regained confidence, improved function, and a happier, healthier smile. Our gallery is just a glimpse into what’s possible when personalized care meets technical expertise. We’re proud of what we’ve accomplished for our patients, and we look forward to helping you achieve your own smile goals.

